Inconspicuous orthodontics — evolving options
February 1, 2005 — Ottawa — It's becoming much more common, some might even say fashionable, to see adults sporting braces. Tom Cruise and other celebrities are at the forefront of this new trend. For the average suburbanite, however, there may still be an embarrassment factor in what they remember as the old-fashioned "tin grin". Enter lingual orthodontics — or braces that go on the inside of teeth.
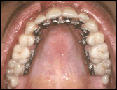
![]() |
![]() |
| Images showing concealed lingual orthodontic appliances. |
Not a new technique, but one that has evolved significantly over the past few decades and is now emerging as a real option, according to an article in the latest edition of the JCDA (Journal of the Canadian Dental Association).
Of his article, Lingual Orthodontics: History, Misconceptions and Clarification, author Paul H. Ling, explains "The early prototypes for lingual orthodontics introduced in the mid-to-late 1970s proved to be frustrating for both dentists and patients. As a result, they were largely abandoned in North America. But development continued in other parts of the world - in Japan and also in many other countries."
Placed on the tongue side of the teeth, these braces are virtually invisible in daily interactions. The cost is generally higher — at about 1.5 to 2 times the cost of more traditional techniques. To reduce costs, patients can choose to "mix and match" with inside braces on the top teeth and outside ones on the bottom. Other options for discreet orthodontics include ceramic brackets — instead of the traditional larger metal ones, and removable plastic mouthguard-type orthodontics for minor adjustments.
Dentists and orthodontists have also found new ways to make "inside braces" more comfortable for patients — by using removable silicone pads and soft plastic splints to cushion the brackets.
The full text of the above mentioned article is available from the eJCDA Web site:
| Lingual Orthodontics: History,
Misconceptions and Clarification [ http://www.cda-adc.ca/jcda/vol-71/issue-/99.html ] |
The Canadian Dental Association is the authoritative national voice of dentistry, dedicated to the representation and advancement of the profession, nationally and internationally, and to the achievement of optimal oral health.













