Figure 1

hebel-1.jpg (32794 bytes)
Figure 1: A young woman with a history of cleft lip and palate. Although there is adequate soft tissue, the lack of bone precludes implants as a treatment option.

 

 

 

 

 

 

 

 

 

 

 

 

 

 

 

 

 

 

 

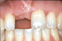
Figure 2

hebel2.jpg (31173 bytes)
Figure 2: : Empress 2 bridge fabricated to replace the maxillary right lateral incisor. The supragingival margins help to maintain gingival health while providing a highly esthetic result.

 

 

 

 

 

 

 

 

 

 

 

 

 

 

 

 

 

Figure 3

hebel3 .jpg (32000 bytes)
Figure 3: Empress 2 bridge replacing the Maxillary left lateral incisor..

 

 

 

 

 

 

 

 

 

 

 

 

 

 

 

 

 

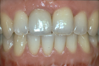
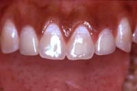
Figure 4

hebel4.jpg (28992 bytes)
Figure 4: Natural smile showing the esthetic results of conventional all - ceramic restorations shown in Figs 2 and 3 

 

 

 

 

 

 

 

 

 

 

 

 

 

 

 

 

 

Figure 5

hebel5.jpg (32223 bytes)
Figure 5: This middle-aged woman lost her maxillary right central incisor due to trauma. The adjacent teeth did not contain any restorations. A single-tooth implant was the chosen treatment.

 

 

 

 

 

 

 

 

 

 

 

 

 

 

 

 

 

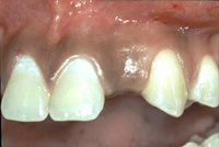
Figure 6

hebel6.jpg (28454 bytes)
Figure 6: Using bone preservation techniques, enough bone was maintained to replace the missing tooth with a single-tooth implant. The final crown has been cemented on the implant abutment.

 

 

 

 

 

 

 

 

 

 

 

 

 

 

 

 

 

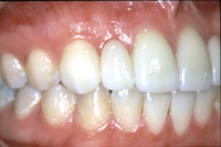
Figure 7

hebel7.jpg (30165 bytes)
Figure 7: The result is an esthetic, functional restoration and the integrity of the adjacent virgin teeth has been maintained.

 

 

 

 

 

 

 

 

 

 

 

 

 

 

 

 

 

Figure 8

hebel8.jpg (29674 bytes)
Figure 8: This young woman has a congenitally missing right lateral incisor. After orthodontic treatment, she is ready for a fixed replacement of her missing tooth.

 

 

 

 

 

 

 

 

 

 

 

 

 

 

 

 

 

Figure 9

hebel9.jpg (29400 bytes)
Figure 9: The same young woman is also missing her left lateral incisor. Note the abundance of soft tissue, which is a critical factor in meeting high patient expectations for esthetic results.

 

 

 

 

 

 

 

 

 

 

 

 

 

 

 

 

 

Figure 10

hebel10.jpg (29565 bytes)
Figure 10: A close view of a single-tooth implant replacing the maxillary left lateral incisor. The soft tissue framing of the final restoration creates an outstanding esthetic result.

 

 

 

 

 

 

 

 

 

 

 

 

 

 

 

 

 

Figure 11

hebel11.jpg (37159 bytes)
Figure 11: Single-tooth implants replace the missing lateral incisors. The crowns are cemented on the implant abutments providing a natural, esthetic result. The structure of the adjacent teeth has been preserved.

 

 

 

 

 

 

 

 

 

 

 

 

 

 

 

 

 

Figure 12

hebel12.jpg (31450 bytes)
Figure 12: This occlusal view shows the amount of tooth reduction required for a full-coverage restoration. This patient has chosen a 4-unit bridge to replace the missing maxillary left central and lateral incisors. Virgin abutment teeth have been compromised during tooth preparation. Ovate pontics have been created to enhance the appearance of the final restoration.